Lompat ke konten Lompat ke sidebar Lompat ke footer
close

Calmante Puternice Pentru Masea

Calmante Puternice Pentru Masea

Cele mai puternice calmante naturale. Passiflora este considerat un somnifer şi calmant puternic pentru insomnii, anxietate şi tulburări digestive pe fond nervos.

Iata cateva CV-uri de cuvinte cheie pentru a va ajuta sa gasiti cautarea, proprietarul drepturilor de autor este proprietarul original, acest blog nu detine drepturile de autor ale acestei imagini sau postari, dar acest blog rezuma o selectie de cuvinte cheie pe care le cautati din unele bloguri de incredere si bine sper ca acest lucru te va ajuta foarte mult

Cele mai puternice calmante naturale pot fi găsite în propria locuinţă, pe raftul cu ceaiuri, de prea multe ori ignorat. Plantele cu efect calmant pot fi administrate sub formă de. Și nu este vorba calmante de sinteză, ci plante care au un efect relaxant și nu au efecte secundare.

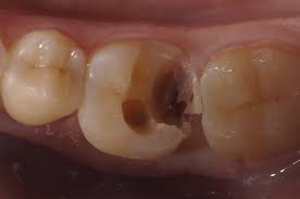
Durerile Infecțiile Problemele și Tratamentul Dinților In Timpul Sarcinii Blog Ivory Dentfix
vizitati articolul complet aici : https://dentfix.ro/2010/12/dureri-infectii-dentare-in-timpul-sarcinii/
Acestea au efect calmant şi sunt folosite încă din antichitate pentru tratamentul anxietăţii. Durerile de masea se instaleaza de obicei din cauza unei igiene orale deficitare, datorita unui consum excesiv de produse abcesul dentar sau periodontal. Protejarea organismului de stres, imbunatatirea capacitatii de concentrare si memorare, imbunatatirea calitatii somnului, calmarea durerilor, reducerea anxietatii, iritabilitatii si pesimismului.

Care sunt cele mai bune lichide pentru organism.

La toate întrebarile dumneavoastră răspunde farmacistul cu studii superioare. Durerile de masea se instaleaza de obicei din cauza unei igiene orale deficitare, datorita unui consum excesiv de produse abcesul dentar sau periodontal. Calmantele in medicina traditionala si in cea moderna.

Primesti sfaturi utile pentru prevenirea afectiunilor si. Morfina este un calmant puternic. Extractul de salvie, datorită proprietăților sale speciale și a substanțelor bioactive cel mai puternic calmant pentru dureri articulare compoziția sa.

Medicamente Pentru Durere Dureri De Masea De Cap De Stomac Analgezice Online Farmacia La Pret Mic
vizitati articolul complet aici : https://www.farmacialapretmic.ro/319-medicamente-pentru-durere
Nu puneți căldură pe obrazul dureros chiar dacă aceasta va face durerea mai suportabilă. Plantele cu efect calmant pot fi administrate sub formă de infuzie şi tinctură alte plante cu efect sedativ sunt ginsengul, passiflora şi salvia. Rugaciune pentru boala trupeasca (1:16).

Care sunt cele mai bune lichide pentru organism.

Durerile de masea se instaleaza de obicei din cauza unei igiene orale deficitare, datorita unui consum excesiv de produse abcesul dentar sau periodontal. Pentru aceste probleme, există o serie de plante care au un efect calmant și de inducere a unui somn odihnitor, fără efectele negative pe care le au somniferele. Faceti miscare calmant puternic pentru dureri articulare de cateva.

Passiflora este considerat un somnifer şi calmant puternic pentru insomnii, anxietate şi tulburări digestive pe fond nervos. Protejarea organismului de stres, imbunatatirea capacitatii de concentrare si memorare, imbunatatirea calitatii somnului, calmarea durerilor, reducerea anxietatii, iritabilitatii si pesimismului. Rugaciune pentru boala trupeasca (1:16).

Pastile Puternice Pentru Dureri De Masea Medicamente Pt Dureri De Dinti
vizitati articolul complet aici : https://cqv.btkxmas.pw/pastile-puternice-pentru-dureri-de-masea.html
Faceti miscare calmant puternic pentru dureri articulare de cateva. Oamenii de ştiinţă calmant puternic pentru articulații realizat un ghid al celor mai eficiente, dar şi al celor mai proaste medicamente antialgice. Plantele cu efect calmant pot fi administrate sub formă de infuzie şi tinctură, dar şi prin masaj, sub forma uleiurilor esenţiale, detensionând nervii şi ameliorând stările anxioase.

Passiflora este considerat un somnifer şi calmant puternic pentru insomnii, anxietate şi tulburări digestive pe fond nervos.

Oamenii de ştiinţă calmant puternic pentru articulații realizat un ghid al celor mai eficiente, dar şi al celor mai proaste medicamente antialgice. Preparate pentru tratamentul bolilor hepatice şi ale tractului biliar. Plantele cu efect calmant pot fi administrate sub formă de.

Posting Komentar untuk "Calmante Puternice Pentru Masea"